ASAYİŞ - 10 Nisan 2026 Cuma 11:09

Midelerinde uyuşturucu sevkiyatı yapan 2 torbacı tutuklandı

A
A
A
Midelerinde uyuşturucu sevkiyatı yapan 2 torbacı tutuklandı

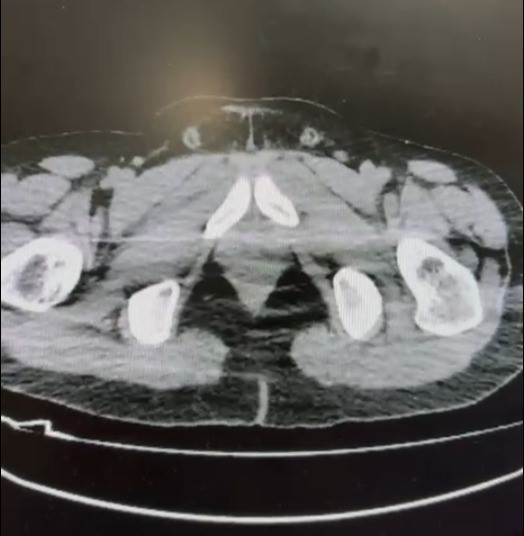
Nevşehir’de polis ekiplerince düzenlenen operasyonda midelerinde uyuşturucu sevkiyatı yapan 2 şüpheli gözaltına alındı.


Nevşehir İl Emniyet Müdürlüğü Narkotik Suçlarla Mücadele Şube Müdürlüğü ekipleri, kentte uyuşturucu ve uyarıcı madde ticareti yapmak ve kullanmak suretiyle vatandaşları zehirleyen sokak satıcılarına yönelik çalışma başlattı. Cumhuriyet Başsavcılığı koordinesinde çalışmalarını yoğunlaştıran ekipler, şüpheliler S.B. ve O.R.’nin ’yutma yöntemi’ ile kente uyuşturucu madde sevk edeceği bilgisi üzerine operasyon düzenledi. Şüphelilerin ikametlerinde ve araçlarında yapılan aramada 101 kapsül halinde 722 gram uyuşturucu madde, 1 adet hassas terazi, uyuşturucu madde sevkiyatında yutma yönteminde kullanılan muhtelif materyaller, uyuşturucu madde ticaretinden elde edilen 20 bin 210 TL, bin 320 euro ve 10 ABD doları ele geçirildi. Emniyetteki işlemlerinin ardından adliyeye sevk edilen 2 şüpheli, çıkarıldıkları mahkemece tutuklanarak cezaevine gönderildi.



Midelerinde uyuşturucu sevkiyatı yapan 2 torbacı tutuklandı

Bunlar Da İlginizi Çekebilir
İzmir Bornova Belediyesindeki soruşturmada savcılık ifadeleri ortaya çıktı Bornova Belediyesinde ’bankamatik memuru’ çalıştırıldığı ve ’nitelikli dolandırıcılık’ yapıldığı iddiasıyla başlatılan soruşturmada, şüphelilerin savcılık ifadeleri ortaya çıktı. Soruşturma kapsamında gözaltına alındıktan sonra serbest bırakılan şüphelilerin verdikleri ifadelerde, işe alım süreci ve maaş ödemelerine dair çarpıcı detaylar yer aldı. İzmir Cumhuriyet Başsavcılığı tarafından Bornova Belediyesi bünyesinde Aslıhan Aksoy isimli şüphelinin fiilen çalışmadan maaş aldığı iddiaları üzerine 1 Nisan’da soruşturma başlatıldı. İddiaya göre, 22 Eylül 2025 tarihinde Sosyal Güvenlik Kurumu (SGK) kaydı yapılan Aslıhan Aksoy’un belediyede hiçbir görev yapmadığı belirlendi. ’Bankamatik memuru’ olarak çalıştırıldığı öne sürülen şüpheli hakkında detaylı inceleme yapıldı. Hazırlanan SGK uzmanlık raporu doğrultusunda olayla ilgili sorumlular tek tek tespit edildi. Raporda, Bornova Belediye Başkanı Ömer Eşki, şüpheli Aslıhan Aksoy, İnsan Kaynakları Müdürü P.K. ve Basın Yayın Halkla İlişkiler Müdür Vekili İ.A.’nın sorumluluğu bulunduğu kaydedildi. Raporun tespitlerinin ardından harekete geçen polis ekipleri, şüphelileri gözaltına aldı. Gözaltına alınan Bornova Belediye Başkanı Ömer Eşki ve dün diğer şüphelilerin emniyetteki işlemleri tamamlandı. Adliyeye sevk edilen şüpheliler, savcılık ifadelerinin ardından tutuklama istemiyle Nöbetçi Sulh Ceza Mahkemesine çıkarıldı. Mahkeme, Bornova Belediye Başkanı Ömer Eşki, Bornova Belediyesi Personel A.Ş. İnsan Kaynakları Müdürü P.K. ve Basın Yayın Halkla İlişkiler Müdür Vekili İ.A.’nın serbest bırakılmasına karar verdi. Belediyede Çağrı Merkezi Müşteri Temsilcisi olarak görevli görünen Aslıhan Aksoy ise yurt dışı yasağıyla serbest kaldı. Yaşanan bu gelişmenin ardından İzmir Cumhuriyet Başsavcılığı, bugün şüphelilerin serbest bırakılması kararına itiraz ederek, tutuklamaya yönelik yakalama talebinde bulundu. "Bütün bağlantıları sağlayan kişi Özkan Yalım’dır" Olayın ardından şüpheli Aslıhan Aksoy’un savcılıkta verdiği ifade ortaya çıktı. Uşak Belediye Başkanı Özkan Yalım’ın kız arkadaşı olduğunu belirten Aslıhan Aksoy, "Önce Uşak Belediyesinde çalışıyordum. Burada belediye başkanı ile aramdaki ilişkiden dolayı basın üzerimize gelince işten ayrıldım. Bunun üzerine Özkan Yalım, Bornova Belediye Başkanından yardım istedi. Daha sonra belediyeden beni arayıp evraklarımı istediler ve 2025 yılı Eylül ayında işe başladım" dedi. Özkan Yalım ile olan birlikteliği sebebiyle onun gittiği programlara katıldığını ve yurt dışına çıktığını aktaran şüpheli Aslıhan Aksoy, "Belediyeden hiç kimse bana işe gelmemem konusunda bir söylemde bulunmadı. İşe gelmediğim dönemlerde kontrol amaçlı olarak cep telefonum arandı, mesaj atıldı ancak ben dönüş yapmadım. Nasıl olsa beni işten çıkarırlar diye düşünmüştüm. Dolandırıcılık gibi bir amacım yoktu. Gerek belediye gerekse SGK kurumunda ortaya çıkan zararları gidermek isterim. Ben bu durumdan rahatsız olmuştum. Özkan Yalım’a söylediğimde ’Boş ver, bir şey olmaz’ şeklinde söylüyordu. Ben Bornova Belediye Başkanı Ömer Eşki ile yüz yüze ya da telefonla görüşmedim. Bütün bağlantıları sağlayan kişi Özkan Yalım’dır" ifadelerini kullandı. "Bilseydim başlangıçta kesinlikle müdahale ederdim" Soruşturma çerçevesinde serbest bırakılan Bornova Belediye Başkanı Ömer Eşki ise savcılık ifadesinde şüpheli Aslıhan Aksoy’un işe başlaması için sadece referans olduğunu kaydetti. Başkan Ömer Eşki, "Belediyede binlerce insan çalıştığı için bu kişinin fiilen işe devam edip etmediği hususunda herhangi bir bilgiye sahip değilim. Şüpheli kişiye belediye tarafından ödenen yaklaşık beş aylık maaş, İ.A. tarafından kredi çekilerek belediye veznesine ödenmiş ve zarar giderilmiştir. Ben sadece rica üzerine şüphelinin belediyede işe girişine yardımcı oldum. Öncesinde kendisini tanımam. Uşak Belediye Başkanı ile olan ilişkisini ve daha önce Uşak Belediyesinde çalıştığını bilmiyordum. Dolandırıcılık suçlamalarını kabul etmiyorum. Bilerek bu durumlara göz yummadım, bilseydim başlangıçta kesinlikle müdahale ederdim" şeklinde konuştu. Dosyada yer alan diğer şüpheliler P.K. ve İ.A.’nın ise verdikleri ifadelerde suçlamaları kabul etmeyerek olayla hiçbir bağlantıları olmadığını söyledikleri öğrenildi.