3
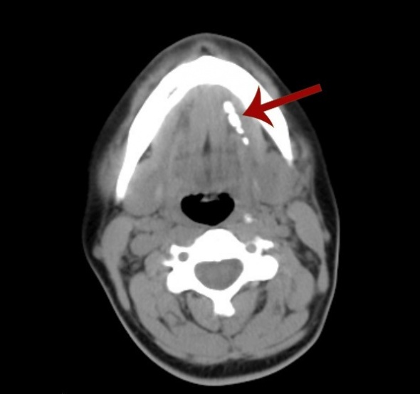
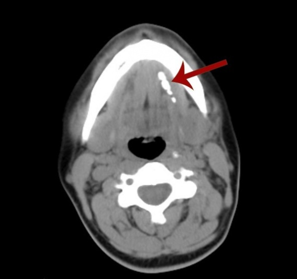
Ameliyat olmaya karar veren Özlem Gül, Medical Park Tarsus Hastanesi’ne gitti. Hastayı muayene eden Kulak Burun Boğaz Hastalıkları Uzmanı Op. Dr. Ali Kahlıoğulları, ameliyatın çene altından girilerek yapılması halinde komplikasyon riskinin olabileceğini ve tükürük bezinin zarar görme riski bulunduğunu belirterek, ağız içinden girilmesi yoluyla operasyonu yapmayı önerdi. Özlem Gül’ün kabul etmesi üzerine Op. Dr. Kahlıoğulları ve ekibi, mikrocerrahi tekniğiyle ve mikroskop altında operasyonu gerçekleştirdi. Ameliyatta, tükürük bezinden ikisi 8 mm çapında, ikisi ise 2 mm çapında olmak üzere toplam 4 taş çıkarıldı. Tükürük bezi ise ameliyattan zarar görmedi.